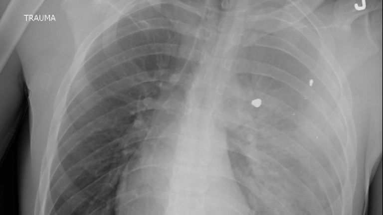
An emergency room doctor has shared a startling reminder that gunshots are the number one cause of death for children and teenagers in the US. Dr Sam Ghali shared the chest X-ray of "a young boy suffering from a condition that is now the #1 cause of death in children...

